病名から調べる

甲状腺眼症

原因・病態

定義

甲状腺眼症とは、甲状腺に関係した抗体が眼球の周りにある脂肪や目を動かす筋肉の中に存在し、それが標的となって“炎症”が起こるものです。甲状腺機能亢進症(バセドウ病)でも低下症(橋本病)でも、また甲状腺機能が正常であっても甲状腺眼症は起こります。

症状

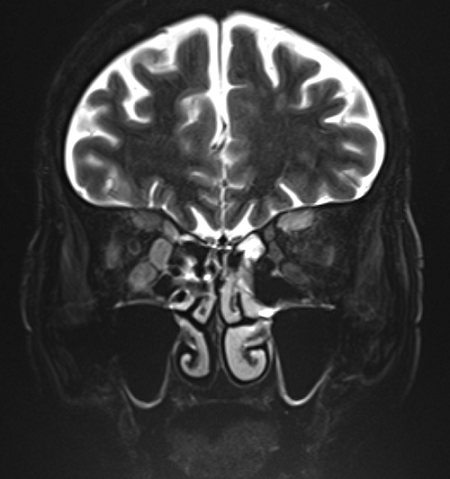
目を動かす筋肉が炎症を起こすと筋肉の動きが悪くなり、患者さんは複視(ものがだぶって見えること)を訴えます。この場合の「だぶり」は、片目で見るとものは一つに見えますが両目で見ると二つに見えることをいいます。検査法としてはコンピュータ断層撮影(CT)や磁気共鳴画像法(MRI)で目の後ろの断層写真を撮って診断します。また、眼窩内の脂肪が炎症を起こしますと、脂肪の体積が増えるため目は押されて出てきます(眼球突出)。出た目は簡単には引っ込みづらく、太った筋肉はもとどおりになりにくくなります。
甲状腺機能の異常による全身の症状が目の症状よりも先に現れるのか、それとも目の症状が先に現れるのかは患者さんによってさまざまです。そのため目の異常を訴え眼科を受診して初めて甲状腺機能異常が見つかる場合もあります。

眼球を動かす外眼筋の筋腹が肥大している。

治療法

甲状腺眼症を憎悪させる3大因子は、ストレス、寝不足、喫煙です。人は誰でも多かれ少なかれストレスは持っており、これをゼロにするのは無理な話ですが、寝不足と喫煙は生活を少し見直すことで解消されます。禁煙を続け、就寝時間を増やしただけでまぶたの腫れや目の奥の痛みが改善することもあります。
甲状腺眼症では、急性期では、副腎皮質ホルモンの全身投与を行います。目の訴えが軽い場合は内服を行い、症状の強い場合や内服で治療効果の乏しい場合は大量点滴療法(パルス療法)を行います。パルス療法の後は内服になりますが、急激な減量や投薬の中止は眼症の再燃につながるため注意を要します。
その他に放射線療法があります。これは眼窩部に放射線を何回かに分けて照射し、直接リンパ球の浸潤を抑える治療方法です。

そのほか、甲状腺眼症の慢性期における眼球突出に対しては目の周りを囲んでいる骨の一部を削る手術や、正面を見たときの両目の位置ずれ(斜視)に対する斜視手術などの外科的治療があります。