病態
網膜中心静脈閉塞症は、網膜全体から血液を集めて流す静脈(網膜中心静脈)が詰まる病気です。

目の血流
血液の流れが止まることで網膜の血管から血液や血漿成分が漏れ出し、出血(
眼底出血)やむくみ(
黄斑浮腫)が生じます。
このむくみがものを見る中心である黄斑に及ぶと、視力の低下やもののゆがみが起こります。
また、血流が悪くなって網膜に酸素が届かなくなる(虚血)が広範囲に及ぶと、
新しい血管(新生血管)が生えてきます。
これらの血管は非常にもろく、硝子体出血や牽引性網膜剥離の原因になります。
さらに、虹彩や隅角にも新生血管ができると、眼圧が上昇して
血管新生緑内障を起こすことがあります。

網膜中心静脈閉塞症の眼底写真。眼底全体に網膜出血が見られる。
症状
多くの場合、片方の目の急な視力低下で気づきます。
朝起きたときに突然見えにくくなることもあります。
視力低下の程度は詰まりの範囲や程度によって異なり、軽い場合はわずかな視野の欠け(見えにくい部分)として感じることもあります。
原因
高血圧や動脈硬化、遠視、緑内障などが危険因子とされています。
また、糖尿病や脂質異常症(高脂血症)も発症リスクを高めます。
60歳以降の中高年に多く見られます。
網膜の中を流れる静脈の枝が詰まってしまうことで発症します。
膠原病、自己免疫疾患があると、若年者にも発症することがあります。
検査
眼底検査で、網膜全体の出血や血管の状態を観察します。
光干渉断層計(OCT)検査で、中心のむくみ(黄斑浮腫)の有無を確認します。
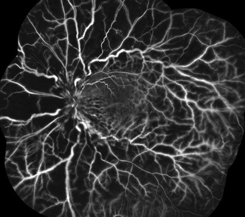
蛍光眼底造影検査によって血流の途絶範囲や新生血管の有無を詳しく調べ、病型(虚血型/非虚血型)の判断を行います。

網膜中心静脈閉塞症の蛍光眼底造影検査
病型には、血流障害が比較的軽い「非虚血型」と、広範囲で血流が途絶する「虚血型」があります。虚血型では、急激かつ高度な視力低下が起こりやすく、合併症にも注意が必要です。

虚血型網膜中心静脈閉塞症の蛍光眼底造影
その他に、網膜電図(ERG)や視野検査を行うこともあります。
治療
黄斑浮腫が原因で視力が低下している場合には、抗VEGF薬(血管新生抑制薬)の硝子体内注射が最も一般的な治療です

硝子体内注射
視力が比較的保たれている場合は経過観察とし、必要に応じて副腎皮質ステロイド薬の注射を行うこともあります。
網膜の虚血が広範囲に及ぶ場合(虚血型)には、新生血管の発生を予防する目的で網膜光凝固術(レーザー治療)を行います。
硝子体出血が生じた場合は、硝子体手術で出血を除去し、再出血を防ぎます。
血管新生緑内障を合併した場合には、眼圧を下げる点眼に加えて、抗VEGF薬の注射や汎網膜光凝固術、緑内障手術を組み合わせて治療します。
また、再発を防ぐためには、高血圧・糖尿病・脂質異常症などの全身疾患の管理も欠かせません。
監修:日本網膜硝子体学会 (参考:
https://www.jrvs.jp/)