病態
糖尿病網膜症は、
糖尿病によって網膜の血管が障害される病気です。
網膜は、眼の奥で光を感じ取り映像を脳に伝える重要な組織で、細い血管が密に張り巡らされています。

眼底の全体像(オレンジ色の部分が網膜)
血糖値の高い状態が続くと、血管の壁がもろくなって血液が漏れ出し、出血や浮腫(むくみ)、酸素不足が起こります。
病気が進行すると、新しい異常な血管(新生血管)が生えてきますが、これらは非常にもろく、破れて硝子体出血や網膜剥離を引き起こすことがあります。
放置すると失明に至ることもあり、日本では成人の中途失明原因の上位を占めています。

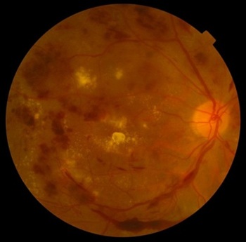
糖尿病網膜症の眼底
分類
糖尿病網膜症は、進行の程度により大きく三段階に分類されます。
(1) 単純糖尿病網膜症
初期の糖尿病網膜症です。最初に出現する異常は、細い血管の壁が盛り上がってできる血管瘤(毛細血管瘤)や、小さな出血(点状・斑状出血)です。蛋白質や脂肪が血管から漏れ出て網膜に溜まってきます(硬性白斑)。これらは血糖値のコントロールが良くなれば改善することもあります。この時期には自覚症状はほとんどありません。詳しい網膜の状態を調べるため眼底の血管造影(蛍光眼底造影検査)を行うこともあります。
(2) 前増殖糖尿病網膜症
単純網膜症より、一歩進行した状態です。細い網膜血管が広い範囲で閉塞すると、網膜に十分な酸素が行き渡らなくなり、足りなくなった酸素を供給するために新しい血管(新生血管)を作り出す準備を始めます。この時期になるとかすみなどの症状を自覚することが多いのですが、全く自覚症状がないこともあります。前増殖糖尿病網膜症では、多くの場合、網膜光凝固術を行う必要があります。
(3) 増殖糖尿病網膜症
この段階に至ると、新生血管が網膜や硝子体に向かって伸びてきます。新生血管の壁が破れると、硝子体に出血することがあります。硝子体は眼球の中の大部分を占める透明な組織です。ここに出血が起こると、視野に黒い影やゴミの様なものが見える飛蚊症と呼ばれる症状を自覚したり、出血量が多いと急な視力低下を自覚したりします。また、増殖組織といわれる線維性の膜が出現し、これが網膜を引っ張って網膜剥離(牽引性網膜剥離)を起こすことがあります。この段階の治療には、手術を必要とすることが多くなります。この時期になると血糖の状態にかかわらず、網膜症は進行していきます。特に年齢が若いほど進行は早く、注意が必要です。

硝子体出血

牽引性網膜剥離
*糖尿病黄斑浮腫
黄斑は網膜の中心にあり、ものを見るために最も重要な部分です。黄斑付近に毛細血管瘤などが多発したり血液成分が染み出たりするなどの理由により、黄斑にむくみを生じた状態が糖尿病黄斑浮腫です。単純網膜症の段階でも起こることがあり、視力が低下してしまいます。糖尿病黄斑浮腫の評価には光干渉断層計検査が有効です。
症状
初期の段階では自覚症状がほとんどありません。
そのため、知らないうちに病気が進行していることも少なくありません。
進行すると、かすんで見える、視力が低下する、視野の一部が暗く見える、飛蚊症が増えるといった症状が現れます。
出血が起こった場合には、突然視界が真っ黒になることもあります。
原因
原因は、長期間にわたる高血糖です。
血糖が高い状態が続くと、網膜の毛細血管が障害され、血液の流れが悪くなり、血管から成分が漏れ出します。
その結果、出血やむくみ、血管の閉塞が起こり、酸素不足を補うために新生血管が生じます。
血糖コントロールが不十分な方や、高血圧・腎臓病を合併している方、糖尿病罹患期間が長い方は特に注意が必要です。
検査
糖尿病と診断された方は、自覚症状がなくても定期的に眼底検査を受けることが重要です。
眼科では、瞳を広げて網膜全体を観察する散瞳眼底検査を行い、出血や新生血管の有無を確認します。
また、蛍光眼底造影検査(FA)で血管の詰まりや漏れの範囲を調べたり、光干渉断層計(OCT)で網膜のむくみ(糖尿病黄斑浮腫)の程度を評価します。

蛍光眼底造影検査
光干渉断層計検査で中心窩を含む、黄斑浮腫が確認できる。
症状がなくても年1回の定期検査が推奨されます。
治療
治療の基本は、まず血糖・血圧・脂質の全身管理です。
眼科的治療は、進行の程度によって異なります。
- 糖尿病黄斑浮腫:抗VEGF薬(血管新生抑制薬)の硝子体内注射で、むくみを軽減します。
- 前増殖糖尿病網膜症:網膜光凝固(レーザー治療)を行い、虚血部分を焼き固めて新生血管の発生を防ぎます。
- 増殖糖尿病網膜症:新生血管や出血が進んだ場合は、硝子体手術で血液を取り除き、網膜を修復します。
(1)網膜光凝固術
網膜光凝固術は主に網膜の酸素不足を解消し、新生血管の発生を予防したり、すでに出現してしまった新生血管を減らしたりすることを目的として行います。
網膜光凝固術は通常は通院で行います。この治療は網膜症の悪化を防ぐための治療であって、決して元の状態に戻すための治療ではありません。
多くの場合、治療後の視力は不変かむしろ低下します。
網膜症の進行具合によって、レーザーの照射数や照射範囲が異なります。
網膜光凝固術は失明予防のために大切な治療です。
(2) 硝子体手術
レーザー治療で網膜症の進行を予防できなかった場合や、すでに網膜症が進行して網膜剥離や硝子体出血が起こった場合に対して行われる場合には硝子体手術が必要になります。
眼球にあけた3、4つの穴から細い手術器具を挿入し、目の中の出血や増殖組織を取り除いたり、剥離した網膜を元に戻したりします。
(3) 抗VEGF治療
糖尿病黄斑浮腫に対しては原因となっているVEGFという蛋白質を抑制するための生物製剤を眼球に注射します。
薬剤の効果は永続的ではないので、通常、繰り返し注射が必要になることが多くなります。

硝子体内注射
監修:日本網膜硝子体学会 (参考:https://www.jrvs.jp/)