病態
網膜中心動脈閉塞症は、網膜に酸素や栄養を送る主な血管(網膜中心動脈)が詰まる病気です。

目の血流
血管が突然閉塞すると、網膜への血流が途絶え、急激な視力低下が起こります。
発症から短時間で網膜の細胞が障害されてしまうため、緊急の対応が必要な眼科救急疾患です。
血管の枝が詰まる場合は「網膜動脈分枝閉塞症(BRAO)」となり、視野の一部が見えにくくなります。一方、中心の動脈が詰まる「網膜中心動脈閉塞症(CRAO)」では、網膜全体の血流が止まり、重度の視力障害を残すことが多いです。
症状
多くの場合、突然片方の目が真っ暗になるように感じ、視力が極端に下がります。
痛みはありませんが、視力は0.1以下に低下することもあります。
血流がごく短時間で自然に再開する場合、「一過性黒内障(いっかせいこくないしょう)」と呼ばれます。
この場合、数分から数十分で一時的に視力が戻ることがありますが、脳梗塞の前兆である可能性もあるため、精密検査が必要です。
原因
主な原因は、動脈硬化、高血圧、糖尿病、脂質異常症(高脂血症)などの生活習慣病です。
これらの疾患により血管内にできた血栓(血のかたまり)やコレステロールの塊が、眼の血管に詰まって発症します。
また、心房細動などの心疾患や頸動脈の動脈硬化が原因となることもあります。
若年者では、膠原病などの自己免疫疾患や血液が固まりやすい体質(高凝固状態)によって起こる場合もあります。
検査
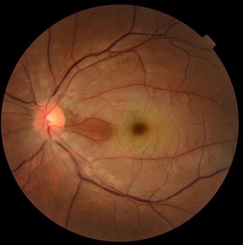
眼底検査では、網膜が白く濁り、中心部(黄斑)にチェリーレッドスポットと呼ばれる赤い点が見られるのが特徴的です。
さらに、光干渉断層計(OCT)で網膜のむくみや血流の低下を確認します。
フルオレセイン蛍光眼底造影検査(FA)では、詰まった血管の範囲や血流の途絶している程度が明確にわかります。
再発予防や原因の特定のため、頸動脈エコー検査、心臓超音波検査、血液検査など全身的な検査も行います。
治療
発症からの時間が経過するほど網膜のダメージは進むため、できるだけ早期の治療開始が重要です。
発症直後(数時間以内)であれば、以下のような処置を試みます。
- 眼球を軽くマッサージして血流を促す
- 酸素吸入を行う
- 眼圧を下げる点眼薬や内服薬を使用
- 血管を拡張させる薬剤の点滴や吸入
これらの治療によって血流が再開すれば、視力が部分的に回復することもありますが、
完全な回復は難しい場合が多いのが現状です。
また、経過中に
血管新生緑内障を合併して眼圧が上昇することがあるため、
定期的な経過観察が必要です。
再発や脳梗塞を防ぐためにも、
高血圧・糖尿病・脂質異常症など全身疾患の管理を徹底することが大切です。
監修:日本網膜硝子体学会 (参考:
https://www.jrvs.jp/)